A Bispecific Oligonucleotide for HBV: Silencing Virus, Awakening Immunity
2025-12-05
Beyond Immune Evasion: NSP15 as the Conductor of Viral RNA Recombination
2025-12-05
A Novel Gene Editing Strategy: Circular ssDNA Significantly Enhances Efficiency in Hematopoietic Stem Cell Gene Therapy
2025-11-27
Decoding Life's Source Code: How AI is Redefining the Boundaries and Possibilities of Nucleotide Analysis
Artificial intelligence is decoding the language of life within nucleotide sequences like never before, transforming massive biological data into revolutionary breakthroughs in precision medicine, synthetic biology, and sustainable agriculture, and guiding humanity's evolutionary leap from passively observing life to actively designing it.
2025-11-26
Artificial miRNA Gene Therapy AMT-130 Significantly Slows Huntington's Disease Progression in Phase 3 Trial
2025-11-20
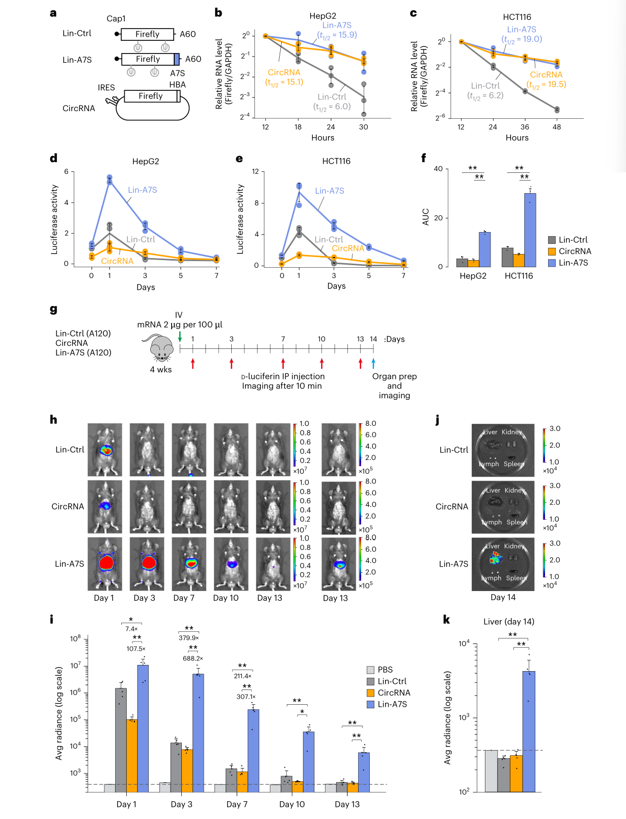
Giving mRNA a "Longevity Engine": Scientists Unlock RNA Stability Secrets from Viruses
2025-11-18
Engineering the RNA Code: How G-Quadruplex Motifs Could Enable Precision Control of mRNA Isoforms
2025-11-14
ATP-Na2 in Biofertilizers: Mechanism & Application Guide
2025-11-07